ข้อมูลผลงานนวัตกรรม-
• รายละเอียดของผลงานนวัตกรรม
MobiiScan เป็นเครื่องเอกซเรย์คอมพิวเตอร์สามมิติแบบเคลื่อนย้ายได้สำหรับผู้ป่วยในท่านอน วิจัย พัฒนา และผลิตโดยศูนย์เทคโนโลยี อิเล็กทรอนิกส์และคอมพิวเตอร์แห่งชาติ (เนคเทค) และ ศูนย์เทคโนโลยีโลหะและวัสดุแห่งชาติ (เอ็มเทค) ภายใต้ สำนักงานพัฒนาวิทยาศาสตร์และเทคโนโลยีแห่งชาติ (สวทช.) ร่วมกับคณะแพทยศาสตร์มหาวิทยาลัยสงขลานครินทร์
ในประเทศไทย สาเหตุการเสียชีวิตของผู้ป่วยจากอุบัติเหตุส่วนใหญ่ เกิดจากอาการเลือดออกในสมองและไม่ได้รับการรักษาอย่างทัน ท่วงที หลักสำคัญของการรักษาผู้ป่วยกลุ่มนี้ คือ ความรวดเร็วในการ ตรวจวินิจฉัย การใช้เครื่องเอกซเรย์คอมพิวเตอร์ จะทำให้แพทย์ วินิจฉัยการบาดเจ็บ และให้การรักษาได้เหมาะสม แต่โรงพยาบาล ขนาดเล็กมักไม่มีเครื่องเอกซเรย์คอมพิวเตอร์ ทำให้ไม่สามารถแยก ผู้ป่วยเลือดออกในสมอง ออกจากผู้ป่วยอุบัติเหตุปกติได้ จึงต้องส่งต่อผู้ป่วยไปยังโรงพยาบาลใหญ่ ทำให้ผู้ป่วยในโรงพยาบาลใหญ่หนาแน่นมาก ด้วยเหตุนี้ คณะแพทยศาสตร์ มหาวิทยาลัยสงขลา นครินทร์ และ สำนักงานพัฒนาวิทยาศาสตร์และเทคโนโลยีแห่งชาติ (สวทช) โดยศูนย์เทคโนโลยีโลหะและวัสดุแห่งชาติ (เอ็มเทค) และ ศูนย์เทคโนโลยีอิเล็กทรอนิกส์และคอมพิวเตอร์แห่งชาติ (เนคเทค) ได้ร่วมวิจัยและพัฒนาเครื่องเอกซเรย์คอมพิวเตอร์สามมิติแบบเคลื่อนย้ายได้และสามารถใช้ในขณะผ่าตัดได้ เพื่อใช้ตรวจวินิจฉัย ในห้องฉุกเฉินและห้องผ่าตัด ทำให้ผู้ป่วยได้รับการรักษาที่มี ประสิทธิภาพและทันท่วงที
เครื่องต้นแบบฯ ที่พัฒนาขึ้น มีจุดประสงค์เพื่อใช้ถ่ายอวัยวะภายในบริเวณศีรษะ สามารถใช้ในห้องผ่าตัดหรือห้องฉุกเฉิน จึงต้องมีล้อเพื่อให้สามารถเคลื่อนย้ายได้สะดวก แตกต่างของเครื่องเอกซเรย์คอมพิวเตอร์แบบ Multi-Slice CT ซึ่งมีขนาดใหญ่และต้องอยู่ในห้องเฉพาะ
เครื่อง MobiiScan ได้ผ่านการทดสอบความปลอดภัยทางด้านรังสีจากกรมวิทยาศาสตร์การแพทย์ กระทรวงสาธารณสุข ทางด้านไฟฟ้าอิเล็กทรอนิกส์จากศูนย์ทดสอบผลิตภัณฑ์ไฟฟ้าและอิเล็กทรอนิกส์ (PTEC) เรียบร้อยแล้ว
หลักการทำงานของเครื่อง MobiiScan
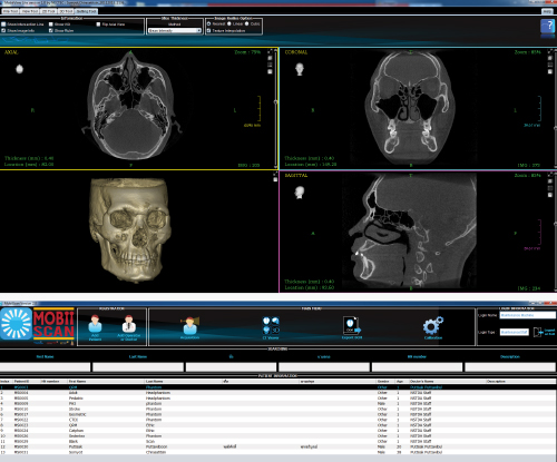
หลักการทำงานของเครื่อง MobiiScan นั้น จะเป็นเทคนิค Cone-beam CT โดยใช้แหล่งกำเนิดรังสีเอกซ์ที่มีลำแสงแบบทรงกรวย และฉากรับภาพรังสีแบบดิจิทัลชนิด แบนราบ (Flat Panel Detector) ตั้งอยู่ตรงกันข้ามกัน อุปกรณ์ ทั้งสองจะหมุนไปพร้อมๆ กันรอบผู้ป่วย 1 รอบ เป็นเวลาไม่เกิน 18 วินาที เพื่อเก็บข้อมูลดิบในแต่ละมุมมอง จากนั้นนำข้อมูลดิบที่ได้ มาผ่านอัลกอริทึมในการสร้างภาพตัดขวาง (Image Reconstruction) เพื่อสร้างภาพตัดขวางแบบสามมิติบริเวณช่องปาก ขากรรไกร และใบหน้าของผู้ป่วย ภาพตัดขวางที่ได้จะถูกแสดงผลในมุมมอง สองมิติและสามมิติผ่านซอฟต์แวร์แสดงภาพ (Viewer Software) เครื่องเอกซเรย์คอมพิวเตอร์ที่ใช้หลักการนี้ จะมีขนาดเครื่อง ที่เล็กกว่าเครื่องเอกซเรย์คอมพิวเตอร์แบบ Multi-Slice CT มาก และผู้ป่วยจะได้รับรังสีในปริมาณที่ต่ำกว่า
คุณสมบัติของเครื่อง MobiiScan
Detector type
Amorphous Silicon Flui Panel
Detector size
30 cm x 40 cm
X-ray source
Pulsed
Tube voltage
90 kVp
Tube current
4-9 mA
Focal spot
0.5 mm
Scan time
12 sec (for bone)/18 sec (for brain)
Scan volume
Diameter 23 cm x Height 19 cm (Max.)
Voxel size
0.3-0.5 mm
Patient position
Supine
ความร่วมมือ
-คณะแพทยศาสตร์ มหาวิทยาลัยสงขลานครินทร์
-โรงพยาบาลจุฬาลงกรณ์ สภากาชาดไทย
-คณะแพทยศาสตร์ มหาวิทยาลัยเชียงใหม่
-คณะทันตแพทยศาสตร์ มหาวิทยาลัยเชียงใหม่
ในประเทศไทย สาเหตุการเสียชีวิตของผู้ป่วยจากอุบัติเหตุส่วนใหญ่ เกิดจากอาการเลือดออกในสมองและไม่ได้รับการรักษาอย่างทัน ท่วงที หลักสำคัญของการรักษาผู้ป่วยกลุ่มนี้ คือ ความรวดเร็วในการ ตรวจวินิจฉัย การใช้เครื่องเอกซเรย์คอมพิวเตอร์ จะทำให้แพทย์ วินิจฉัยการบาดเจ็บ และให้การรักษาได้เหมาะสม แต่โรงพยาบาล ขนาดเล็กมักไม่มีเครื่องเอกซเรย์คอมพิวเตอร์ ทำให้ไม่สามารถแยก ผู้ป่วยเลือดออกในสมอง ออกจากผู้ป่วยอุบัติเหตุปกติได้ จึงต้องส่งต่อผู้ป่วยไปยังโรงพยาบาลใหญ่ ทำให้ผู้ป่วยในโรงพยาบาลใหญ่หนาแน่นมาก ด้วยเหตุนี้ คณะแพทยศาสตร์ มหาวิทยาลัยสงขลา นครินทร์ และ สำนักงานพัฒนาวิทยาศาสตร์และเทคโนโลยีแห่งชาติ (สวทช) โดยศูนย์เทคโนโลยีโลหะและวัสดุแห่งชาติ (เอ็มเทค) และ ศูนย์เทคโนโลยีอิเล็กทรอนิกส์และคอมพิวเตอร์แห่งชาติ (เนคเทค) ได้ร่วมวิจัยและพัฒนาเครื่องเอกซเรย์คอมพิวเตอร์สามมิติแบบเคลื่อนย้ายได้และสามารถใช้ในขณะผ่าตัดได้ เพื่อใช้ตรวจวินิจฉัย ในห้องฉุกเฉินและห้องผ่าตัด ทำให้ผู้ป่วยได้รับการรักษาที่มี ประสิทธิภาพและทันท่วงที
เครื่องต้นแบบฯ ที่พัฒนาขึ้น มีจุดประสงค์เพื่อใช้ถ่ายอวัยวะภายในบริเวณศีรษะ สามารถใช้ในห้องผ่าตัดหรือห้องฉุกเฉิน จึงต้องมีล้อเพื่อให้สามารถเคลื่อนย้ายได้สะดวก แตกต่างของเครื่องเอกซเรย์คอมพิวเตอร์แบบ Multi-Slice CT ซึ่งมีขนาดใหญ่และต้องอยู่ในห้องเฉพาะ
เครื่อง MobiiScan ได้ผ่านการทดสอบความปลอดภัยทางด้านรังสีจากกรมวิทยาศาสตร์การแพทย์ กระทรวงสาธารณสุข ทางด้านไฟฟ้าอิเล็กทรอนิกส์จากศูนย์ทดสอบผลิตภัณฑ์ไฟฟ้าและอิเล็กทรอนิกส์ (PTEC) เรียบร้อยแล้ว
หลักการทำงานของเครื่อง MobiiScan
หลักการทำงานของเครื่อง MobiiScan นั้น จะเป็นเทคนิค Cone-beam CT โดยใช้แหล่งกำเนิดรังสีเอกซ์ที่มีลำแสงแบบทรงกรวย และฉากรับภาพรังสีแบบดิจิทัลชนิด แบนราบ (Flat Panel Detector) ตั้งอยู่ตรงกันข้ามกัน อุปกรณ์ ทั้งสองจะหมุนไปพร้อมๆ กันรอบผู้ป่วย 1 รอบ เป็นเวลาไม่เกิน 18 วินาที เพื่อเก็บข้อมูลดิบในแต่ละมุมมอง จากนั้นนำข้อมูลดิบที่ได้ มาผ่านอัลกอริทึมในการสร้างภาพตัดขวาง (Image Reconstruction) เพื่อสร้างภาพตัดขวางแบบสามมิติบริเวณช่องปาก ขากรรไกร และใบหน้าของผู้ป่วย ภาพตัดขวางที่ได้จะถูกแสดงผลในมุมมอง สองมิติและสามมิติผ่านซอฟต์แวร์แสดงภาพ (Viewer Software) เครื่องเอกซเรย์คอมพิวเตอร์ที่ใช้หลักการนี้ จะมีขนาดเครื่อง ที่เล็กกว่าเครื่องเอกซเรย์คอมพิวเตอร์แบบ Multi-Slice CT มาก และผู้ป่วยจะได้รับรังสีในปริมาณที่ต่ำกว่า
คุณสมบัติของเครื่อง MobiiScan
Detector type
Amorphous Silicon Flui Panel
Detector size
30 cm x 40 cm
X-ray source
Pulsed
Tube voltage
90 kVp
Tube current
4-9 mA
Focal spot
0.5 mm
Scan time
12 sec (for bone)/18 sec (for brain)
Scan volume
Diameter 23 cm x Height 19 cm (Max.)
Voxel size
0.3-0.5 mm
Patient position
Supine
ความร่วมมือ
-คณะแพทยศาสตร์ มหาวิทยาลัยสงขลานครินทร์
-โรงพยาบาลจุฬาลงกรณ์ สภากาชาดไทย
-คณะแพทยศาสตร์ มหาวิทยาลัยเชียงใหม่
-คณะทันตแพทยศาสตร์ มหาวิทยาลัยเชียงใหม่
• ที่มาของผลงานนวัตกรรม
เครื่องเอกซเรย์คอมพิวเตอร์สามมิติ MobiiScan
MobiiScanเป็นเครื่องเอกซเรย์คอมพิวเตอร์สามมิติแบบเคลื่อนย้ายได้สำหรับผู้ป่วยในท่านอน วิจัย พัฒนา และผลิตโดยศูนย์เทคโนโลยี อิเล็กทรอนิกส์และคอมพิวเตอร์แห่งชาติ (เนคเทค) และ ศูนย์เทคโนโลยีโลหะและวัสดุแห่งชาติ (เอ็มเทค) ภายใต้ สำนักงานพัฒนาวิทยาศาสตร์และเทคโนโลยีแห่งชาติ (สวทช.) ร่วมกับคณะแพทยศาสตร์มหาวิทยาลัยสงขลานครินทร์
MobiiScan
MobiiScan
ในประเทศไทย สาเหตุการเสียชีวิตของผู้ป่วยจากอุบัติเหตุส่วนใหญ่ เกิดจากอาการเลือดออกในสมองและไม่ได้รับการรักษาอย่างทัน ท่วงที หลักสำคัญของการรักษาผู้ป่วยกลุ่มนี้ คือ ความรวดเร็วในการ ตรวจวินิจฉัย การใช้เครื่องเอกซเรย์คอมพิวเตอร์ จะทำให้แพทย์ วินิจฉัยการบาดเจ็บ และให้การรักษาได้เหมาะสม แต่โรงพยาบาล ขนาดเล็กมักไม่มีเครื่องเอกซเรย์คอมพิวเตอร์ ทำให้ไม่สามารถแยก ผู้ป่วยเลือดออกในสมอง ออกจากผู้ป่วยอุบัติเหตุปกติได้ จึงต้องส่งต่อผู้ป่วยไปยังโรงพยาบาลใหญ่ ทำให้ผู้ป่วยในโรงพยาบาลใหญ่หนาแน่นมาก ด้วยเหตุนี้ คณะแพทยศาสตร์ มหาวิทยาลัยสงขลา นครินทร์ และ สำนักงานพัฒนาวิทยาศาสตร์และเทคโนโลยีแห่งชาติ (สวทช) โดยศูนย์เทคโนโลยีโลหะและวัสดุแห่งชาติ (เอ็มเทค) และ ศูนย์เทคโนโลยีอิเล็กทรอนิกส์และคอมพิวเตอร์แห่งชาติ (เนคเทค) ได้ร่วมวิจัยและพัฒนาเครื่องเอกซเรย์คอมพิวเตอร์สามมิติแบบเคลื่อนย้ายได้และสามารถใช้ในขณะผ่าตัดได้ เพื่อใช้ตรวจวินิจฉัย ในห้องฉุกเฉินและห้องผ่าตัด ทำให้ผู้ป่วยได้รับการรักษาที่มี ประสิทธิภาพและทันท่วงที
MobiiScan
เครื่องต้นแบบฯ ที่พัฒนาขึ้น มีจุดประสงค์เพื่อใช้ถ่ายอวัยวะภายในบริเวณศีรษะ สามารถใช้ในห้องผ่าตัดหรือห้องฉุกเฉิน จึงต้องมีล้อเพื่อให้สามารถเคลื่อนย้ายได้สะดวก แตกต่างของเครื่องเอกซเรย์คอมพิวเตอร์แบบ Multi-Slice CT ซึ่งมีขนาดใหญ่และต้องอยู่ในห้องเฉพาะ
เครื่อง MobiiScan ได้ผ่านการทดสอบความปลอดภัยทางด้านรังสีจากกรมวิทยาศาสตร์การแพทย์ กระทรวงสาธารณสุข ทางด้านไฟฟ้าอิเล็กทรอนิกส์จากศูนย์ทดสอบผลิตภัณฑ์ไฟฟ้าและอิเล็กทรอนิกส์ (PTEC) เรียบร้อยแล้ว
จุดเด่นของเครื่อง MobiiScan
วางแผนการรักษาผู้ป่วยหรือเด็กที่มีผิดปกติบริเวณใบหน้า กะโหลกศีรษะและขากรรไกรใน
วินิจฉัยและวางแผนการรักษาผู้ป่วยอุบัติเหตุบริเวณศีรษะ
วินิจฉัยอาการเลือดออกในสมองจากอุบัติเหตุ หรือ โรคหลอดเลือดสมอ
• ความร่วมมือที่แสวงหา :
ถ่ายทอดเทคโนโลยี
• วันที่เผยแพร่ผลงาน :
03 ตุลาคม 2559
• ความต้องการในการใช้ประโยชน์เชิงพาณิชย์ :
Directory ประชาสัมพันธ์เท่านั้น
• Keyword :
mobiiscan, เครื่องเอกซเรย์คอมพิวเตอร์สามมิติ, เครื่องเอกซเรย์, ผู้ป่วย
• ราคาของผลงานนวัตกรรม :
ยังไม่ได้กำหนดราคา
สถานที่เยี่ยมชมผลงานนวัตกรรม+
ข้อมูลกรรมสิทธิ์และทรัพย์สินทางปัญญา+
รายละเอียดเจ้าของข้อมูล+
เครื่องเอกซเรย์คอมพิวเตอร์สามมิติ MobiiScan
• ราคาของผลงานนวัตกรรม : ยังไม่ได้กำหนดราคา
• จุดเด่นของผลงานนวัตกรรม :
จุดเด่นของเครื่อง MobiiScan
-วางแผนการรักษาผู้ป่วยหรือเด็กที่มีผิดปกติบริเวณใบหน้า กะโหลกศีรษะและขากรรไกรใน
-วินิจฉัยและวางแผนการรักษาผู้ป่วยอุบัติเหตุบริเวณศีรษะ
-วินิจฉัยอาการเลือดออกในสมองจากอุบัติเหตุ หรือ โรคหลอดเลือดสมอง (Stroke)
-วินิจฉัยและวางแผนการรักษาบริเวณมือและเท้า
-สามารถใช้ในห้องผ่าตัด หรือ ห้องฉุกเฉินได้
-สามารถเคลื่อนย้ายได้สะดวก
-วางแผนการรักษาผู้ป่วยหรือเด็กที่มีผิดปกติบริเวณใบหน้า กะโหลกศีรษะและขากรรไกรใน
-วินิจฉัยและวางแผนการรักษาผู้ป่วยอุบัติเหตุบริเวณศีรษะ
-วินิจฉัยอาการเลือดออกในสมองจากอุบัติเหตุ หรือ โรคหลอดเลือดสมอง (Stroke)
-วินิจฉัยและวางแผนการรักษาบริเวณมือและเท้า
-สามารถใช้ในห้องผ่าตัด หรือ ห้องฉุกเฉินได้
-สามารถเคลื่อนย้ายได้สะดวก

• ชื่อเจ้าของข้อมูล :
• สาขา : ศูนย์เทคโนโลยีอิเล็กทรอนิกส์และคอมพิวเตอร์แห่งชาติ (NECTEC)
• ประเภทผลงานนวัตกรรม :
ผลงานนวัตกรรม
• หมวดหมู่นวัตกรรม :
การแพทย์ครบวงจร
• ระดับนวัตกรรม :
• ความร่วมมือที่แสวงหา :
ถ่ายทอดเทคโนโลยี
• ความต้องการจำหน่าย :
Directory ประชาสัมพันธ์เท่านั้น
วันที่เผยแพร่: 03 ตุลาคม 2559
|
ผู้เยี่ยมชม: 282
ผลงานนวัตกรรมที่น่าสนใจ

แพทย์หญิง มุฑิตา อุเบกข
าแพทย์อายุรก
csdfdsfsdfsdfdsfsdfsdfsdfsdf

แพทย์หญิง มุฑิตา อุเบกข
าแพทย์อายุรก
csdfdsfsdfsdfdsfsdfsdfsdfsdf

แพทย์หญิง มุฑิตา อุเบกข
าแพทย์อายุรก
csdfdsfsdfsdfdsfsdfsdfsdfsdf

แพทย์หญิง มุฑิตา อุเบกข
าแพทย์อายุรก
csdfdsfsdfsdfdsfsdfsdfsdfsdf

แพทย์หญิง มุฑิตา อุเบกข
าแพทย์อายุรก
csdfdsfsdfsdfdsfsdfsdfsdfsdf

แพทย์หญิง มุฑิตา อุเบกข
าแพทย์อายุรก
csdfdsfsdfsdfdsfsdfsdfsdfsdf

แพทย์หญิง มุฑิตา อุเบกข
าแพทย์อายุรก
csdfdsfsdfsdfdsfsdfsdfsdfsdf

แพทย์หญิง มุฑิตา อุเบกข
าแพทย์อายุรก
csdfdsfsdfsdfdsfsdfsdfsdfsdf

แพทย์หญิง มุฑิตา อุเบกข
าแพทย์อายุรก
csdfdsfsdfsdfdsfsdfsdfsdfsdf